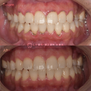
ガミースマイルの治療例(20代・女性)
歯肉整形で前歯の歯ぐきラインを整えたケース
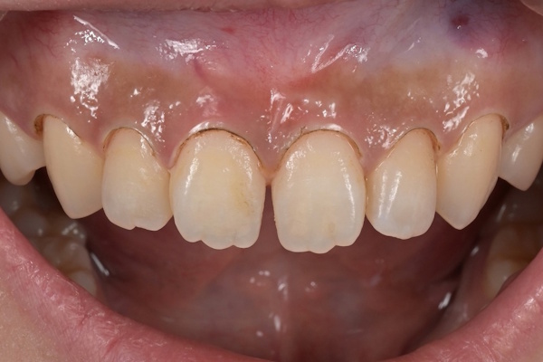
治療前:前歯4本の歯ぐきが過剰に見える

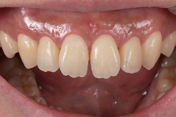
治療後:左右対称に歯肉を整形。笑顔が自然に。

治療前:上顎の歯ぐきの面積が広くなっています

治療後:全体のバランスが整いました

POINT
- 治療内容:ガミースマイルの治療(歯肉の整形)
- 治療回数:1回
- 治療期間:1日
- 治療費用:22万円
- メリット:笑った時の歯肉の露出過剰が無くなる
- リスクと副作用:術後の痛みや腫れ、一時的な知覚過敏、内出血、後戻りなどがあります。これらの症状は通常、数日から数週間で自然に治まります。

